Children’s Dentistry – Top Rated Pediatric Dentist in Stamford
Home > Children’s Dentistry – Top Rated Pediatric Dentist in Stamford
Everything You Should Know About Children’s Dentistry
Our best dentists in Stamford claim that tooth decay often begins at an early age, making young children particularly susceptible. Nearly half of 2-11-year-olds have experienced tooth decay while 32% of kids between 9 -11 years old display cavities in their permanent teeth. Major contributing factors to this public health problem include baby formula with added sugar and heavily-sugared fruit juices. Even breast milk can cause cavities in baby teeth because of the natural sugars present.
Care for baby teeth should begin as soon as the first tooth appears. At our dental center, we recommend bringing your child in for an exam no later than his or her first birthday. And regular six-month checkups with our best pediatric dentist from then on will put kids on a similar schedule to most adults. We can monitor your child for dental problems while customizing preventive coaching to fit specific conditions.
As a parent, some early steps can help guard your child against tooth decay, even before the first dental visit:
Your baby’s teeth should always be flushed with water or wiped down with a damp cloth after feeding, especially before they fall asleep. Milk or formula residue left in the mouth can promote decay even in the youngest patients. Untreated cavities can eventually lead to pain and infection.
Try to wean your child off breastfeeding or bottled milk by age one year. This effort helps avoid decay and minimizes the chance of jaw growth problems from excessive sucking.
Begin brushing as soon as the first tooth appears. Even a small piece of tooth showing can develop a cavity. Start by brushing with a soft-bristled brush and water, and ask your dentist when it’s ok to begin using a small amount of toothpaste.
Once your child is old enough to begin brushing on his or her own, continue to monitor their brushing, going back to clean any areas they may have missed.
Don’t give bottles of sugary drinks or milk before bedtime
Use a straw with sugary beverages to allow the teeth to have less contact with the liquid.
Try to limit the overall sugary foods your child eats and drinks.
This was my first visit to the practice and I liked it very much. The dental hygienist was fantastic. Katalina did a seem-less job in cleaning and x-raying my teeth. Her personality was great. The dentist,Ali Modiri, was low key and did a thorough job checking out my teeth. I will be going back again. Paul
Paul Bornstein
Google
Early Treatment is Crucial
Our dentistry center provides the following treatments:
ADD/ADHD
Lower IQ
Chronic Allergies
Aggressive Behavior
Mouth Breathing
Crooked Teeth
Restless Sleep
Bedwetting
Nightmares
Dark Circles
Snoring
Irritability
Arrested Growth
Headaches
Address Sleep Disordered Breathing symptoms and straighten teeth WITHOUT braces
Non-Invasive & Pain-Free
Effective with Little to No Relapse
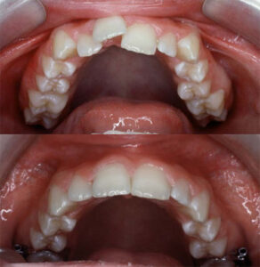
Before and After
Upper Crowding Correction
Open Bite Correction
Overbite Correction
Lower Crowding Correction
Bite Correction
How HealthyStart® Can Improve Your Child’s Health
Better Sleep. The HealthyStart appliances open the airway and allow for maximum airflow, allowing children to sleep deeper and more relaxed (without all the snoring, nightmares and bedwetting).
Improve Grades. Better sleep plays a fundamental role in a child’s health. By opening the airway and allowing for the most restful sleep possible, children have the ability to be their most successful selves.
Increase Focus. Quality sleep improves memory, executive function, and problem-solving during childhood. A person who is sleep-deprived cannot focus properly, and continuous improper sleep has long-term effects on a child’s health and focus.
Straighten Teeth. The HealthyStart System promotes the natural growth of teeth into their correct alignments. Unlike many clear aligners, HealthyStart appliances are completely non-invasive and work with the natural eruption of teeth.
Develop Jaw. Our appliances aid in opening the airway and shifting the jaw forward, all while straightening teeth and guiding them into their correct alignments. Regular clear aligners do not address the underdeveloped jaw and force teeth into alignment.
Dr. Modiri took his time with me unlike other dentists to discuss my issues. He was very thorough and presented me with dental treatment options. Very refreshing.
CONTENT DISCLAIMER The information on this website is to provide a general dentistry information. In no way does any of the information provided reflect a definitive treatment advice. It is important to consult your dentist regarding ANY questions or issues. A thorough dental evaluation should ALWAYS be performed for an accurate diagnosis and treatment plan. Be sure to call your local dental practice, to schedule a consultation.